Prothetik
„Mut zur Lücke“ war einmal. Heute gilt Zahnersatz, ob festsitzend (Kronen und Brücken) oder herausnehmbar (Teil- und Totalprothese) zum guten Ton. Auch das Ersetzen einzelner oder mehrerer Zähne durch Implantate zählt längst zur Routine. Abhängig ist die Versorgung immer auch von der vorhandenen Zahnzahl, der Zahnverteilung und der Beschaffenheit des Zahnbettes.
Um die prothetische Versorgung langfristig zu gewährleisten, überlassen wir nichts dem Zufall:
1. Sanierung der Zähne und vorhandener Zahnfleischerkrankungen
2. Verwendung und Verarbeitung hochwertiger, gut gewebeverträglicher Werkstoffe
3. Individuelle Planung des neuen Zahnersatzes durch das Team Zahnarzt/Zahntechniker
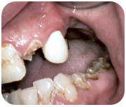
Beispiele für die Sanierung der Zähne:
![]() |
![]() |
![]() |
![]() |
![]() |
Unser Ziel ist die optimale Funktion und perfekte Ästhetik Ihres neuen Zahnersatzes. Deshalb bieten wir neben der herkömmlichen Versorgung mit Zahnersatz besondere Versorgungsarten an:
Mit festsitzendem Zahnersatz:
1. Keramikverblendschalen (Veneers)
2. Individuelle Keramikverblendungen
3. Ästhetische Versorgung mit Inlays, Teilkronen, Kronen und Brücken aus Vollkeramik
4. Ästhetische Implantateinzelkronen und Brücken
Beispiele für Implantate:


Mit herausnehmbaren Zahnersatz:
1. Herausnehmbare Brücken
2. Teleskopierender Zahnersatz
Beispiel für Teleskopprothese:

Weiterführende Informationen zum Thema Implantate in Verbindung mit Champions-Implantaten nach dem schmerzarmen & “sofortbelastbaren” MIMI®- Verfahren erhalten Sie auf unserer Homepage unter dem Menupunkt Zahnimplantate.




